Todo lo que tu mascota necesita en un solo lugar

Consulta Especializada

Somos especialistas en la atención veterinaria de animales de compañía y exóticos. Nuestro equipo cubre todas las áreas, incluyendo oftalmología, dermatología, cardiología, urología, odontología y reproducción. Con más de dos décadas de experiencia, ofrecemos un servicio completo y cercano para el diagnóstico y tratamiento de cualquier patología.

Cirugía General y Traumatología

Disponemos de un quirófano totalmente equipado con la última tecnología para realizar todo tipo de intervenciones, desde cirugías de rutina hasta operaciones de traumatología más complejas. Atendemos urgencias quirúrgicas las 24 horas del día, garantizando la máxima seguridad y cuidado en cada procedimiento.

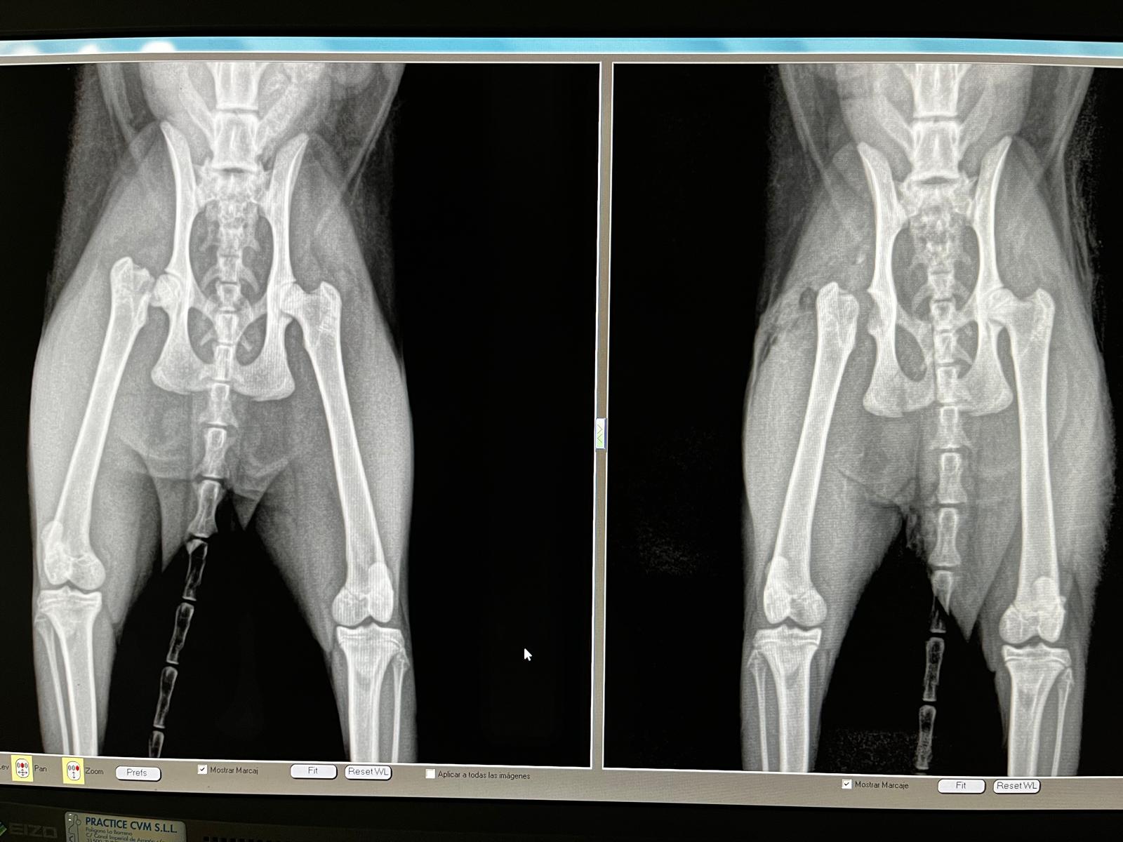
Diagnóstico por Imagen

Para lograr diagnósticos rápidos y fiables, contamos con Rayos X digitales, ecografía abdominal y reproductiva, además de un especialista en ecografía cardiaca. La combinación de experiencia y tecnología avanzada nos permite detectar patologías de forma precisa y temprana.

Reproducción

Ofrecemos servicios de inseminación artificial, citología vaginal, test de progesterona, diagnóstico de gestación y ecografías gestacionales. Acompañamos a tu mascota en todo el proceso reproductivo, con un control veterinario que asegura la salud tanto de la madre como de las crías.

Análisis de Laboratorio

Disponemos de laboratorio propio con resultados en pocos minutos. Realizamos analíticas completas de sangre, análisis hormonales, citologías, estudios de orina, coprológicos, raspados cutáneos y pruebas rápidas para la detección de numerosas enfermedades.

Hospitalización 24h

Nuestra sala de hospitalización está completamente equipada con jaulas de oxigenoterapia, bombas de infusión y sistemas de monitorización. Ofrecemos un entorno seguro y controlado para la recuperación de tu mascota, con atención constante de nuestros veterinarios.

Urgencias 24/7

La salud no entiende de horarios. Por eso ponemos a tu disposición un servicio de urgencias las 24 horas del día, los 365 días del año. Siempre tendrás a un veterinario disponible para atender cualquier emergencia que pueda surgir.

Tienda Especializada

Cuidamos también el día a día de tu mascota con una amplia gama de alimentos de alta calidad, dietas personalizadas para distintas patologías, productos antiparasitarios, de higiene dental, dermatológicos y accesorios de todo tipo.

Peluquería Canina y Felina

Ofrecemos servicios de estética e higiene: baños, cortes de pelo (incluidos cortes de raza), recortes, tratamientos para problemas dermatológicos y más. Todo supervisado por nuestros veterinarios, asegurando belleza y salud en un mismo servicio.